티스토리 뷰
목차
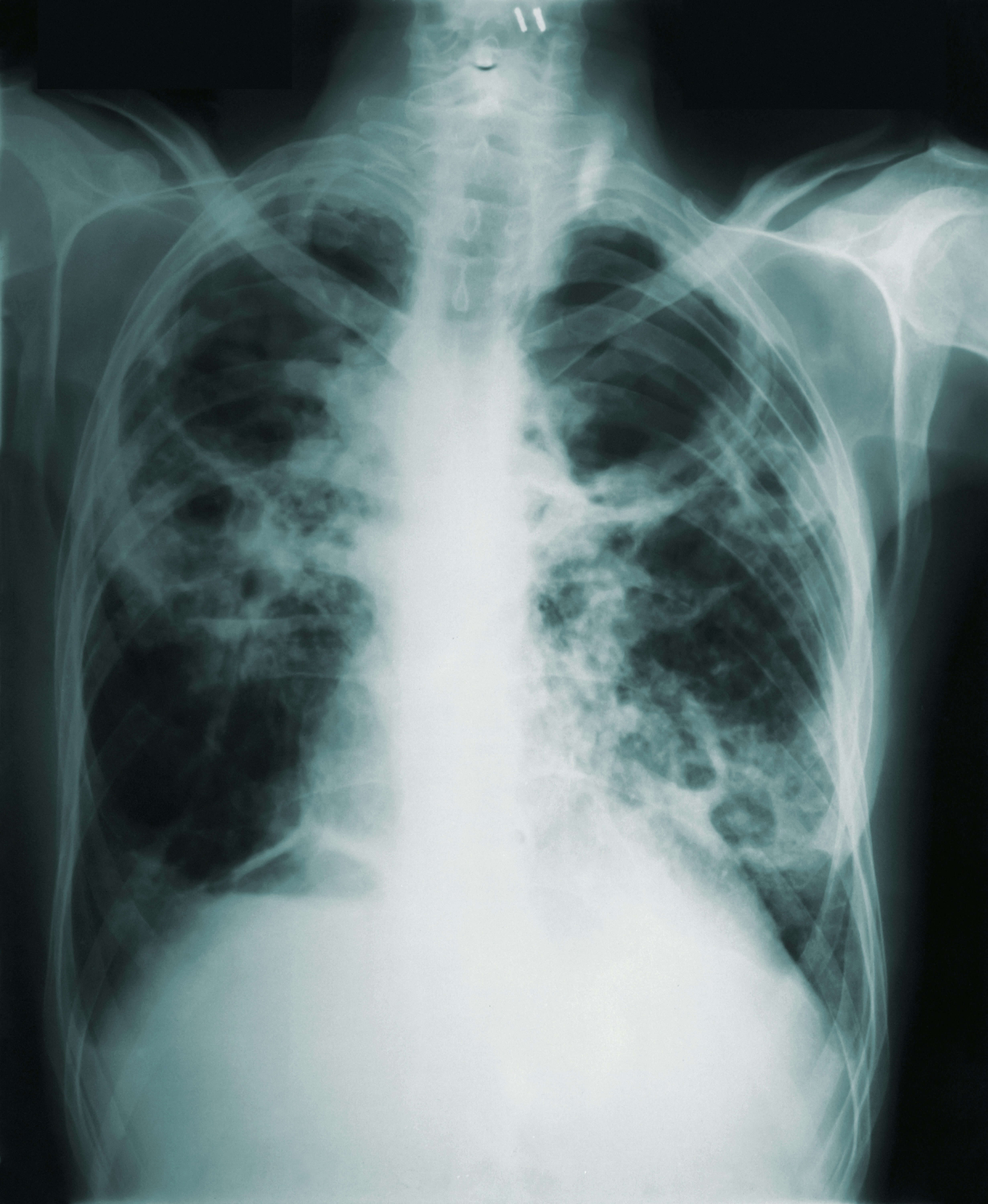
현대 사회에서 폐암은 조기 발견이 매우 어려운 질환으로 알려져 있습니다.
초기에는 특별한 증상이 거의 나타나지 않아 대부분 병이 상당히 진행된 후에야 이상을 느끼고 병원을 찾게 됩니다.
제 지인분도 오랜 흡연으로 폐암이 와서 꽤나 고생하셨던게 생각이 납니다.
특히 흡연자나 간접흡연에 자주 노출되는 분들, 그리고 대기 오염이 심한 환경에서 생활하는 분들은 폐암 초기증상에 더욱 민감하게 주의를 기울일 필요가 있습니다.
폐암은 초기에 발견될 경우 5년 생존율이 50% 이상으로 높아지지만, 진행된 상태에서 발견되면 생존율이 크게 떨어집니다.
▶ 아래에서 폐암 정보와 전문의 상담을 빠르게 받아보실 수 있습니다.
폐암, 왜 조기발견이 중요할까요?
따라서 폐암 초기증상을 알고 조기에 발견하는 것이 생명을 지키는 첫 번째 단계입니다.
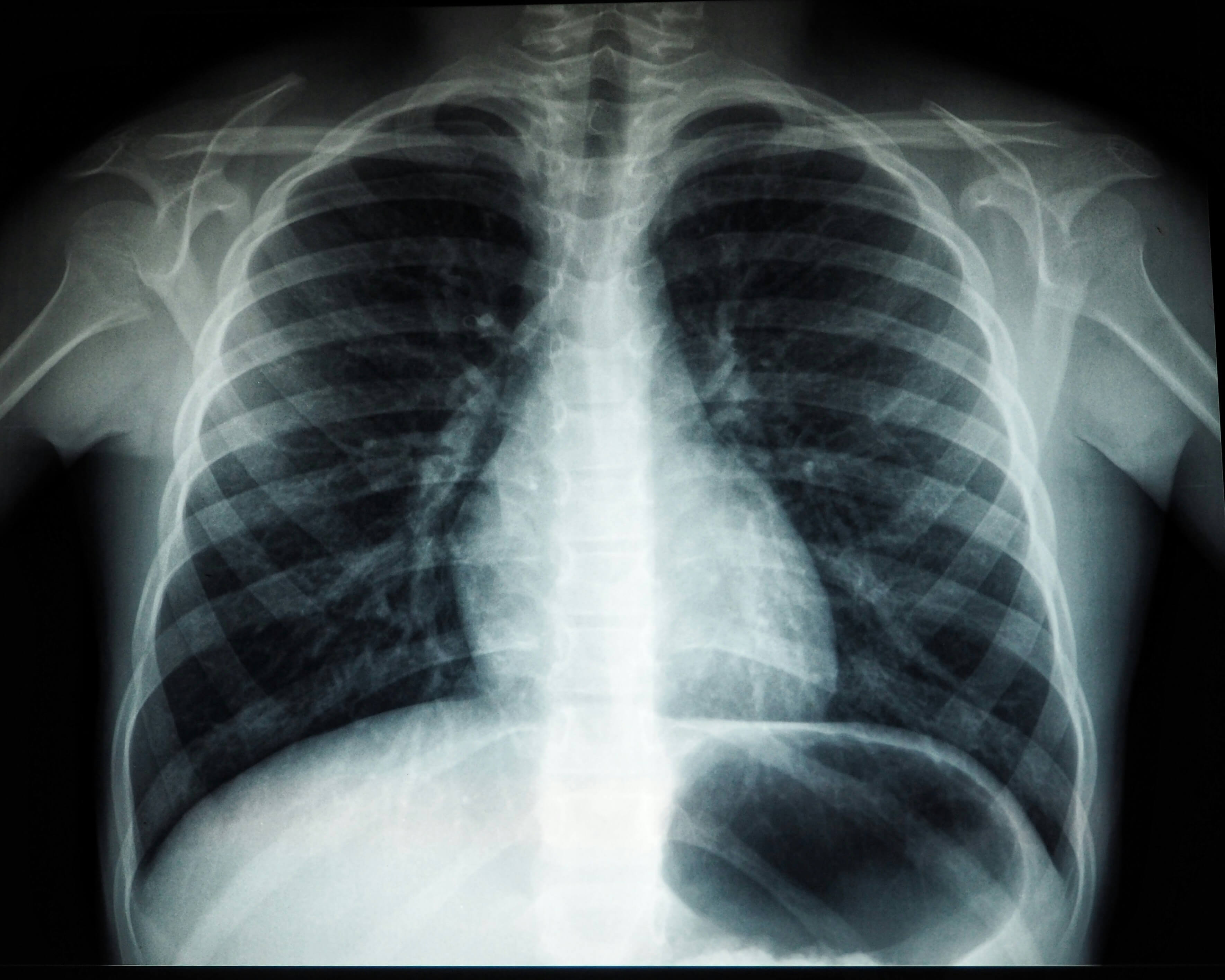
폐암은 초기에는 특별한 증상이 나타나지 않는 경우가 많지만, 몸에서 보내는 미세한 신호들이 있습니다.
이러한 신호를 놓치지 않고 빠르게 대처하는 것이 중요합니다.
특히 고위험군(흡연자, 폐암 가족력이 있는 사람, 석면 등 유해물질에 노출된 사람)은 정기적인 검진과 함께 자신의 몸 상태를 주의 깊게 살펴야 합니다.



폐암 초기증상 10가지 체크리스트
폐암 초기증상은 다양한 형태로 나타날 수 있습니다.
다음 증상들 중 하나라도 2주 이상 지속된다면 반드시 검진을 받아보시는 것이 좋습니다.
1. 지속적인 기침이 멈추지 않음 🔍
폐암의 가장 흔한 초기 증상은 3주 이상 지속되는 기침입니다. 일반적인 감기나 기관지염으로 인한 기침은 보통 1-2주 내에 호전되지만, 폐암으로 인한 기침은 몇 주 이상 지속되며 점점 심해지는 특징이 있습니다.
처음에는 마른기침 형태로 시작되다가 점차 가래를 동반한 기침으로 발전할 수 있습니다.
기침을 할 때 가슴이 답답하거나 통증이 동반된다면 폐 조직이 손상되었을 가능성이 크므로 반드시 검사를 받아야 합니다.
2. 가래에 피가 섞여 나옴(객혈) 🩸
기침을 할 때 가래에 피가 묻어나거나 붉은색 점액이 섞여 나온다면 폐암 초기 증상일 가능성이 있습니다.
이는 폐의 혈관이 손상되거나, 종양이 기관지 점막을 자극하면서 출혈이 발생하기 때문입니다.
가래의 색이 붉은색, 갈색, 녹슨 색과 비슷하다면 폐 내부에 출혈이 있는 것일 수 있으므로 신속한 검진이 필요합니다.
단순한 기관지염이나 폐렴에서도 피 섞인 가래가 나올 수 있지만, 특별한 이유 없이 반복적으로 이러한 증상이 나타난다면 반드시 의사의 진료를 받아야 합니다.
3. 숨이 차고 호흡이 어려워짐(호흡곤란) 😮💨
폐암이 진행되면서 폐 기능이 저하되면 숨이 차는 증상이 나타날 수 있습니다.
초기에는 계단을 오르거나 운동할 때만 가볍게 숨이 차는 느낌이 들지만, 병이 진행될수록 가벼운 활동이나 휴식 중에도 숨이 가빠질 수 있습니다.
평소에 문제가 없던 사람이 갑자기 가벼운 움직임에도 호흡이 힘들어진다면, 폐 내부에서 산소 교환에 장애가 생겼을 가능성이 큽니다.
이는 암세포가 기관지를 막거나, 폐 조직이 손상되면서 폐활량이 줄어들기 때문에 발생하는 것입니다.
4. 가슴 통증이 지속됨 ❤️🩹
숨을 깊게 들이마실 때 가슴이 아프거나, 기침할 때 통증이 심해진다면 폐 내부에 이상이 있을 가능성이 높습니다.
폐암이 진행되면서 폐 주변의 신경과 조직을 압박하면 가슴에 통증이 발생할 수 있습니다.
초기에는 가벼운 답답함 정도로 시작될 수 있지만, 시간이 지날수록 강한 통증으로 발전할 수도 있습니다.
또한 통증이 등이나 어깨까지 퍼질 수도 있으며, 암이 진행될수록 점점 심해지는 특징이 있습니다.
5. 목소리가 변하고 쉰 목소리가 지속됨 🗣️
목이 쉬고, 목소리가 거칠어지는 증상이 2주 이상 지속된다면 병원을 방문하여 검사를 받아보는 것이 좋습니다.
폐암이 기관지를 압박하거나 성대 주위의 신경을 손상시키면 목소리가 변할 수 있습니다.
이러한 변화는 암세포가 성대의 움직임을 조절하는 신경을 손상시키면서 발생할 수 있으며, 폐암의 초기 증상 중 하나로 나타날 가능성이 높습니다.
평소에 특별한 이유 없이 목소리 변화가 심해진다면 반드시 원인을 확인해야 합니다.
6. 만성적인 피로감과 전신 쇠약 😴
충분한 휴식을 취해도 피로감이 사라지지 않고 지속된다면 건강 검진을 받아보는 것이 좋습니다.
폐암이 진행되면 몸 전체적으로 피로감이 심해지고 기운이 없어지는 증상이 나타날 수 있습니다.
암세포가 성장하면서 체내 에너지를 과도하게 소모하고, 면역 체계가 약해지면서 만성 피로가 지속될 수 있습니다.
특히 이런 피로감이 기침, 체중 감소 등의 다른 증상과 함께 나타난다면 폐암을 의심해볼 필요가 있습니다.
7. 식욕이 감소하고 체중이 급격히 감소함 ⚖️
한 달 내에 체중이 5kg 이상 급격하게 감소한다면 이는 암의 초기 증상일 가능성이 높습니다.
암세포는 체내 영양분을 빠르게 소비하면서 체중 감소를 유발할 수 있습니다.
특히 흡연자가 이런 증상을 경험할 경우 조기에 검진을 받아야 합니다.
일반적인 다이어트나 생활 습관 변화 없이도 갑자기 체중이 줄어든다면 반드시 정밀 검사를 받아보는 것이 좋습니다.
8. 삼키기 어려움(연하곤란) 🥄
음식을 삼킬 때 통증이 있거나 자주 사레가 걸린다면 폐 주변 조직에 이상이 있을 가능성이 크므로 검진을 받아야 합니다.
폐암이 진행되면서 목이나 기관지 주위의 신경과 근육을 압박하면 음식을 삼키는 것이 어려워질 수 있습니다.
초기에는 목이 답답하거나 물을 삼킬 때 이물감이 느껴지는 정도지만, 점차 음식물이 걸리는 느낌이 심해질 수 있습니다.
9. 잦은 감기와 폐렴이 발생함 🤒
한 번 감기에 걸리면 쉽게 낫지 않고, 폐렴이 자주 재발한다면 폐 내부에 종양이 존재할 가능성이 있습니다.
폐암은 기관지와 폐 조직에 영향을 주기 때문에 감기나 폐렴에 자주 걸릴 수 있습니다.
특히 기침과 가래가 지속적으로 남아 있는 경우 폐 건강을 의심해볼 필요가 있습니다.
반복적인 감기나 폐렴 증상이 있다면 단순 감기로 넘기지 말고 폐암 검사를 받아보는 것이 중요합니다.
10. 손가락 끝이 두꺼워지고 변형됨(곤봉지 현상) 👆
손가락 끝이 붓고 두꺼워지는 '곤봉지(clubbing)' 현상은 폐암의 특징적인 증상입니다.
폐암이 말초 혈액순환에 영향을 미치면 손가락 끝이 붓고 두꺼워지는 현상이 발생할 수 있습니다.
이는 산소 공급이 원활하지 않으면서 손가락 끝이 둥글게 변하는 특징적인 증상입니다.
이러한 변화는 폐 질환뿐만 아니라 심장 질환과 관련이 있을 수도 있으므로, 반드시 검진을 받아보는 것이 필요합니다.



폐암 자가진단 방법: 핑거 클러빙 테스트
간단한 자가진단 방법인 '핑거 클러빙 테스트'를 해볼 수 있습니다.
테스트 방법:
- 양손의 검지손가락을 서로 마주 보게 합니다.
- 손톱과 손톱을 맞대어 봅니다.
- 손톱 사이에 다이아몬드 모양의 공간이 보이는지 확인합니다.
정상적인 경우 손톱과 손톱 사이에 작은 다이아몬드 모양의 공간이 보입니다.
하지만 폐암이나 다른 폐 질환이 있을 경우, 이 공간이 사라지고 손가락 끝이 두꺼워지는 '곤봉지' 현상이 나타날 수 있습니다.



마무리: 폐암 초기증상, 미리 알고 대처하세요
폐암은 초기에 뚜렷한 증상이 나타나지 않아 조기 발견이 어렵지만, 위에서 설명한 10가지 초기 증상에 주의를 기울인다면 조기에 발견할 가능성이 높아집니다.
특히 흡연자, 간접흡연에 노출된 사람들, 폐암 가족력이 있는 사람들은 정기적인 검진을 통해 폐암을 조기에 발견할 수 있도록 노력해야 합니다.
위에서 설명한 증상 중 하나라도 지속적으로 나타난다면 지체하지 말고 의료 전문가와 상담하시기 바랍니다.
건강한 생활습관을 유지하고, 정기적인 검진을 통해 폐암을 조기에 발견하여 건강한 삶을 영위하시길 바랍니다.
이 글이 도움이 되셨다면 주변의 소중한 분들에게도 공유해 주세요.
폐암 초기증상을 알고 자신의 건강 상태를 주기적으로 확인하는 것은 생명을 지키는 중요한 습관입니다.
조금이라도 이상을 느끼면 즉시 검진을 받아보는 것이 현명한 선택입니다.





